close

Research - 04.03.2025 - 11:00 

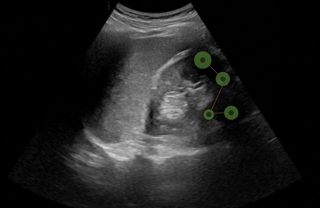
Following the eye: eye tracking promotes innovation in medical education

The Training Centre of HOCH Health Ostschweiz (STZ-HOCH) and the Institute of Computer Science (ICS-HSG) at the University of St.Gallen are working together on the "ETATUS – Eye Tracking as an Assistance Tool in Ultrasound Training" project to develop innovative training approaches for point-of-care ultrasound (POCUS).
Source: SCS-HSG

The aim of the project is to develop scientifically sound training methods that can be effectively implemented through evidence-based analyses. These methods should enable residents to quickly and more productively engage in everyday clinical practices, and thereby relieve the workload of trainers. The project thus lays the foundation for more precise diagnoses and optimized learning processes in the field of point-of-care ultrasound (POCUS).

“With eye tracking, we see the ultrasound through the eyes of an expert – like a mountain climber who not only recognizes paths but also every plant and every trace.”
Dr Kenan Bektas, project manager at STZ-HOCH and associated researcher at ICS-HSG
“This makes it easier for assistant doctors to internalize what they need to pay attention to and they are likely to discover anomalies faster.”
Dr Kenan Bektas, project manager at STZ-HOCH and associated researcher at ICS-HSG

Why use eye tracking for POCUS training? 

Point-of-Care Ultrasound (POCUS) is a diagnostic ultrasound procedure used directly at the patient's bedside that places high visual and cognitive demands on the user. Eye-tracking technology makes eye movements visible and helps to optimize the learning strategies of residents in a targeted manner. Three key advantages are expected: 

  • Analysis of expert patterns: Eye tracking shows how experienced doctors identify relevant image areas and makes it possible to teach these strategies in a targeted manner. 
  • Individualized feedback: Eye tracking data provides precise feedback that should help residents reach an advanced level faster. 
  • Increased diagnostic accuracy: More precise training methods enable clinically relevant findings to be recognized better and the quality of diagnoses to be improved. 
“With ETATUS, we are aiming to create a basis for making the training of residents not only more effective but also more resource efficient.”
Dr Kenan Bektas, project manager at STZ-HOCH and associated researcher at ICS-HSG
“At the same time, we hope to increase diagnostic accuracy and develop training procedures that are directly tailored to the requirements of clinical practice.”
Dr Kenan Bektas, project manager at STZ-HOCH and associated researcher at ICS-HSG

Pioneering research partnership  

The collaboration between STZ-HOCH and ICS-HSG combines medical expertise, psychological learning and training research, and technological innovation. Together, the partners develop practical, evidence-based solutions for medical education to make learning processes more efficient and effective.  

The Training Centre of HOCH Health Ostschweiz (STZ-HOCH) is responsible for the design, strategic management and practical implementation of the project. The knowledge gained is incorporated into existing continuing education programs and drives the further development of innovative approaches in medical education.  

The Institute of Computer Science (ICS-HSG) at the University of St.Gallen is supporting the project by developing eye-tracking algorithms and scientifically analyzing eye movement data.  

Financing and study planning  

The project is funded by the Research Committee of HOCH Health Ostschweiz with 83,800 CHF and runs from January to December 2025 (grant number 24/25). The initial user studies, with 30 participants from HOCH Health Ostschweiz, will start in March 2025.  

Sustainable perspective  

The ‘ETATUS – Eye Tracking as an Assistance Tool in Ultrasound Training’ project is an important building block in the strategy of the Training Centre of HOCH Health Ostschweiz (STZ-HOCH) to advance medical education through evidence-based and innovative methods. The findings will be incorporated into existing programs and provide valuable impetus for future research and applications.  

The cooperation with the Institute of Computer Science (ICS-HSG) creates a long-term basis for interdisciplinary research initiatives that combine technology and medical education. Together, the partners are setting new standards for future-oriented and effective medical education.  


Image: HOCH

north